【非腫瘍性疾患】

皮膚筋炎

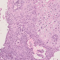
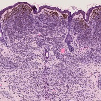
扁平苔癬

尋常性天疱瘡

水疱性類天疱瘡

薬疹

尋常性乾癬

リウマチ様結節

伝染性軟属腫

尋常性疣贅

尖圭コンジローム

マダニ刺症

表皮嚢腫

外毛根鞘嚢腫

悪性黒色腫

肥厚性瘢痕

ケロイド

黄色腫
【良性腫瘍】

母斑細胞母斑

青色母斑

単純黒子

表皮母斑

脂腺母斑

脂漏性角化症

ケラトアカントーマ

毛母腫

脂腺腺腫

血管平滑筋腫

皮膚線維腫

グロムス腫瘍

化膿性肉芽腫
【悪性腫瘍】

日光角化症

ボーエン病

扁平上皮癌

疣状癌

基底細胞癌

脂腺癌

乳房外パジェット病

隆起性皮膚線維肉腫

皮膚白血病

メルケル細胞癌

菌状息肉症